Chao Pinhole Technique: The New Treatment for Receding Gums Everyone's Talking About
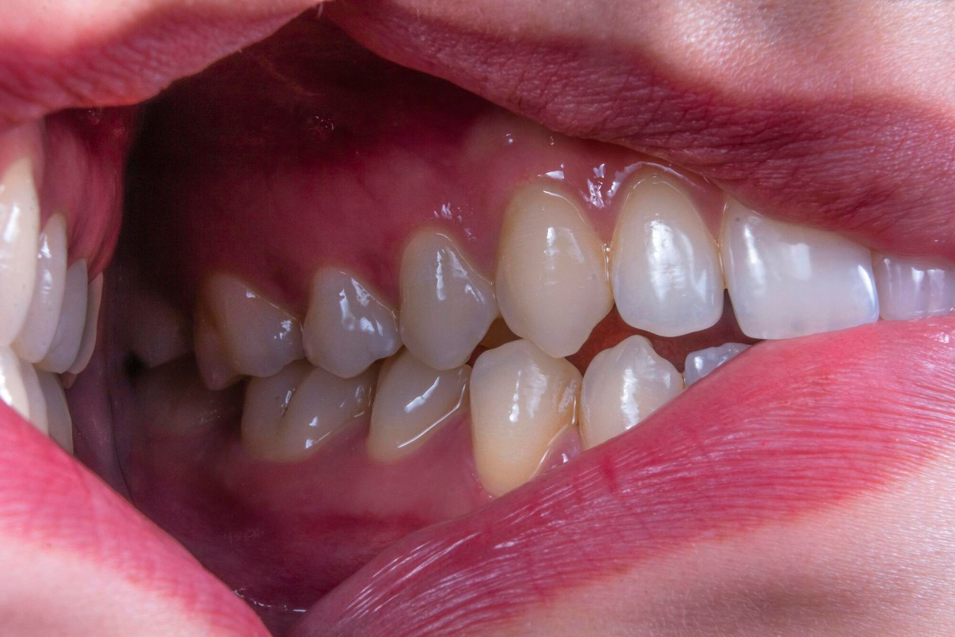
NIH reports that more than 42% of adults aged 30 years and older have some form of gum disease. One common sign is gum recession. If your teeth look longer or feel more sensitive, your gums may pull away from the surface.
If untreated, this can lead to tooth decay, bone loss, or tooth loss. In the past, treating it meant surgery, scalpels, stitches, and a long recovery. But now, there is a better option.
The Chao Pinhole Technique offers a non-surgical solution to gum recession. Keep reading to discover how this new treatment for receding gums can restore your smile with minimal pain.
Understanding Gum Recession
The condition occurs when your gums recede, revealing more of your teeth and their roots. Gum recession can result from:
- Aggressive brushing
- Periodontal diseases
- Genetics
- Aging
Gum recession is typically addressed through a grafting procedure. This invasive procedure involves placing tissue from your mouth or a donor source to restore the gum line.
While effective, the procedure can be painful and takes time to heal. It also requires intensive aftercare to prevent infection and support recovery, which can be inconvenient for many.
What Is the Chao Pinhole Technique?
The Chao Pinhole technique is a modern, non-surgical way of treating receding gums. Instead of cutting or stitching, your dentist makes a tiny pinhole in your gum. Special tools are then used through this pinhole to loosen and reposition your gum tissue gently.
There is no cutting, stitching, or need for grafts, which means less pain, less swelling, and a faster recovery.
Benefits of the Pinhole Gum Treatment
Since it is minimally invasive, you will experience less discomfort during and after the procedure. You will also see immediate cosmetic improvements. Your gums will look healthier, making your smile appear more natural.
Recovery is quicker, and you will likely return to normal within a day or two. If you have several receding areas, they can be treated in one session, avoiding repeated visits and saving time.
Most importantly, this procedure improves gum health and prevents further recession. At Smart Smile Dental, our pinhole gum treatment combines advanced technology with a gentle approach. You can enjoy faster, more effective results with less discomfort.
Is It Right for You?
The Chao pinhole gum treatment works best for people with moderate to mild gum recession. It may not be the right choice for people with severe periodontal disease.
It is always a good idea to consult with your dentist. They can evaluate your dental condition and help determine whether treatment is appropriate.
New Treatment for Receding Gums: Take the First Step Towards Healthier, Brighter Smiles
Receding gums can affect both your appearance and oral health. But with the Chao pinhole technique, you can restore your gum line without surgery. The new treatment for receding gums offers a smoother and more comfortable recovery.
Located in Orange, CA, Smart Smile Dental has provided exceptional care for years. Under the leadership of Dr. Lori Bagai, we specialize in the latest dental techniques, including the innovative pinhole gum treatment for receding gums. Our team is committed to patient education, offering personalized treatment options, and ensuring you are informed every step of the way.
Get in touch for a healthier, more confident smile.












