Comprehensive Guide to Porcelain Dental Veneers in Orange County, California
Introduction to Dental Veneers
Understanding the Basics of Veneers
Dental veneers are a staple in cosmetic dentistry, designed to improve the appearance of your teeth. These thin, custom-made shells, often made from tooth-colored materials like porcelain, cover the front surface of the teeth. They can rectify many dental issues, such as discolored teeth, chipped teeth, misshapen teeth, and even gaps.
Why Choose Porcelain Dental Veneers?
Porcelain veneers stand out due to their natural look, mimicking the light-reflecting properties of your natural tooth enamel. In addition, they are resistant to stains, making them a long-lasting solution to enhance your smile.
Relevance of Dental Veneers in Cosmetic Dentistry
Dental veneers, particularly porcelain ones, are essential in cosmetic dentistry. The reason is that they are versatile and capable of rectifying issues ranging from stained, chipped, or misshapen teeth to even minor alignment corrections and gaps. In essence, they offer a practical way to achieve a smile makeover.
The Benefits of Porcelain Veneers in Orange, CA
Enhancing Your Smile with Veneers
With the help of our expert dentists, veneers can transform your smile, restoring confidence. Whether you have chipped, stained, or misaligned teeth, porcelain veneers can help you achieve that perfect smile.
The Durability of Porcelain Veneers
Porcelain is a strong and durable material. With proper care, porcelain veneers can last for years, offering a long-term solution for a stunning smile.
Porcelain Veneers vs. Other Dental Solutions
While several dental solutions are available, porcelain veneers stand out due to their natural appearance and longevity. In addition, porcelain veneers offer a more aesthetic and durable solution than other options like dental bonding or crowns.
Porcelain Veneers vs. Composite Veneers
Both porcelain and composite veneers can enhance your smile. However, porcelain veneers are more durable and discoloration-resistant than their composite counterparts.
How Long Do Porcelain Veneers Last? Longevity, Maintenance & Investment Value
Porcelain veneers typically last 10 to 15 years or longer with proper care. Many patients enjoy their veneers for 15–20 years when maintaining excellent oral hygiene and regular dental visits.
Because veneers are crafted from high-quality dental porcelain, they are:
- Highly durable
- Resistant to staining
- Designed to withstand normal biting forces
- Bonded securely to natural enamel
How to Extend the Life of Your Veneers
To maximize longevity:
- Brush twice daily with non-abrasive toothpaste
- Floss daily
- Avoid biting hard objects (ice, pens, fingernails)
- Wear a nightguard if you grind your teeth
- Attend routine dental exams and cleanings
Are Veneers Worth the Investment?
Porcelain veneers are considered a premium cosmetic solution because of their durability, stain resistance, and superior aesthetic quality. While the upfront cost may be higher than alternatives, their longevity often makes them more cost-effective over time.
At Smart Smile Dental in Orange, CA, Dr. Lori Bagai ensures every veneer case is carefully planned for long-term function and beauty, protecting both your smile and your investment.
Determining Your Candidacy for Porcelain Veneers
Who Might Need Dental Veneers?
Anyone who wishes to improve their smile could be a good candidate for dental veneers. People with issues like discolored, chipped, or misshapen teeth might particularly benefit from this solution. First, however, a consultation with a dentist is necessary to evaluate your dental health and needs.
Dental Consultation and Evaluation for Veneers
At your initial consultation, our team in Orange County will evaluate your dental health, discuss your goals, and determine if porcelain veneers are the proper treatment for you. In addition, we ensure that all patients feel comfortable and are well-informed about the procedure.
Addressing Common Concerns about Porcelain Veneers
Do Porcelain Veneers Hurt?
The procedure for veneer placement is typically painless, with local anesthesia used to ensure your comfort. However, some temporary discomfort may occur during the recovery process.
Are Porcelain Veneers Safe?
Yes, porcelain veneers are a safe dental treatment when conducted by experienced dentists. However, addressing all your dental issues and discussing your medical history with your dentist during the consultation is essential.
Porcelain Veneers vs. Dental Bonding: Which Is Right for You?
When comparing cosmetic treatments, many patients ask which is better: veneers or bonding. While both improve appearance, veneers offer greater durability and aesthetic refinement.
| Feature | Porcelain Veneers | Dental Bonding |
|---|---|---|
| Durability | Highly durable, resistant to wear | Less durable, may chip over time |
| Stain Resistance | Strong resistance to staining | More prone to discoloration |
| Cost | Higher initial investment | Lower upfront cost |
| Aesthetic Quality | Superior translucency and lifelike appearance | Good but less natural depth |
| Lifespan | 10–15+ years | 3–7 years |
For patients in Orange, CA seeking a long-term cosmetic solution with the most natural-looking results, porcelain veneers are typically the superior option.
Dr. Lori Bagai will evaluate your smile goals and recommend the most appropriate treatment based on your needs.
Watch Our Video About Dental Veneers
The Process of Getting Porcelain Veneers in Orange County
Initial Consultation and Treatment Planning
During your initial consultation, we will take you through the porcelain veneer treatment process, discuss your expectations, and develop a personalized treatment plan.
Preparation and Veneer Placement Procedure
The next step involves preparing the tooth for veneer placement:
- The cosmetic dentist will remove a small amount of enamel to make room for the veneer.
- The cosmetic dentist will take an impression of your tooth to create your custom-made porcelain veneer.
- On your next appointment, the dentist will bond the dental veneer to your tooth after ensuring the color, size, and shape perfectly match a natural look.
Follow-Up and Maintenance of Porcelain Veneers
After the procedure, you will have a follow-up appointment to check the placement and comfort of your veneers. Maintenance involves regular brushing, flossing, and routine dental check-ups. Good oral hygiene practices can extend the longevity of your porcelain veneers.
What Our Patients Are Saying
★★★★★
"I want to give my biggest thanks to Smile Smart! A special thanks to Thu for helping me out when I recently came in. Fully recommend everyone to come here! Great experience!"
Andrew R.
★★★★★
"Dr Bagai and her staff are fantastic. I've been going to her for years and am very pleased with the service and results. They are a very friendly group on top of it all! I highly recommend going to her."
Sean B.
★★★★★
"They were wonderful, comprehensive and gentle. All my questions were answered and it was a great cleaning. Will be coming back from my follow up fillings."
Josh S.
Investing in Your Smile: The Cost of Porcelain Veneers in Orange County
Factors Influencing the Cost of Veneers
The cost of veneers can vary based on several factors, including the number of veneers needed, the complexity of your case, and the dentist's expertise. However, investing in porcelain veneers means investing in a beautiful, long-lasting smile.
Insurance Coverage and Financing Options
Some dental insurance plans may cover a portion of the cost of porcelain veneers, especially if they're necessary for structural reasons. We also offer various financing options to ensure the treatment is affordable for our patients in Orange, CA.
The Value of High-Quality Porcelain Veneers in Orange, CA
Although porcelain veneers can be a significant investment, the transformation of your smile and the boost to your self-confidence can be invaluable. High-quality porcelain veneers provide a natural look and feel worth the cost.
Choosing the Right Dental Office for Porcelain Veneers in Orange County
Why Choose Our Dental Practice for Veneers in Orange?
Our Orange County, CA, dental office offers the expertise and experience necessary for top-tier porcelain veneer procedures. In addition, our dentists stay up-to-date with the latest technology in cosmetic dentistry, ensuring that you receive the best possible care.
Our Expertise and Commitment to Patient Satisfaction
Our entire staff is committed to patient satisfaction. From the initial consultation through the procedure and aftercare, we take great care to make our patients comfortable and satisfied with their results.
Conveniently Located in the Heart of Orange County, CA
Our dental office is conveniently located in the heart of Orange County, CA, making it easy for our patients to access our top-quality services. We are proud to serve the residents of Orange County, offering the best cosmetic dentist experience in the area.
Frequently Asked Questions about Dental Veneers
Understanding the Longevity and Care of Your Porcelain Veneers
Your new smile can last long, especially when you properly maintain your porcelain veneers.
How Long Will My Porcelain Veneers Last?
On average, porcelain veneers can last 10 to 15 years and even longer with proper care.
Factors influencing the longevity of your veneers include:
- The quality of the veneer.
- The expertise of your dentist.
- Your oral health habits.
Care Tips to Maintain Your Veneers
Maintaining your veneers is similar to caring for your natural teeth. Regular brushing and flossing, avoiding hard or chewy foods that could damage veneers, and avoiding substances that could stain your veneers are all important. You should also continue seeing your dentist regularly for check-ups and cleanings.
Regular Check-ups and Professional Cleaning
Visiting your dentist regularly for check-ups is crucial to prolong the life of your veneers. Your dentist can examine the veneers and the underlying teeth to ensure they are healthy. Professional cleanings can also help maintain the brightness of your veneers.
Next Steps to Getting Your Porcelain Veneers in Orange, CA
Ready to take the following steps in your journey to a beautiful smile? Here's what you need to do.
Scheduling Your Initial Consultation
The first step is to schedule an initial consultation with our office in Orange, CA. During this appointment, our expert team will assess your oral health, discuss your aesthetic goals, and determine if porcelain veneers are the right solution for you.
Preparing for Your Veneer Placement Appointment
We will schedule your veneer placement appointment once we confirm you're a good candidate for porcelain veneers. Remember to maintain good oral hygiene in the lead-up to your procedure.
Financing Your Porcelain Veneers
While porcelain veneers can be an investment, the confidence and satisfaction that come with a beautiful smile are priceless. We offer several financing options to help make your smile makeover more affordable. First, check with your dental insurance provider to see if they can cover costs.
In conclusion, porcelain veneers are a fantastic way to improve the appearance of your teeth and boost your confidence with a radiant smile. If you're in Orange County, CA, we invite you to contact us and explore the benefits of veneers. Our team of skilled and experienced dentists is ready to help you achieve the smile of your dreams.
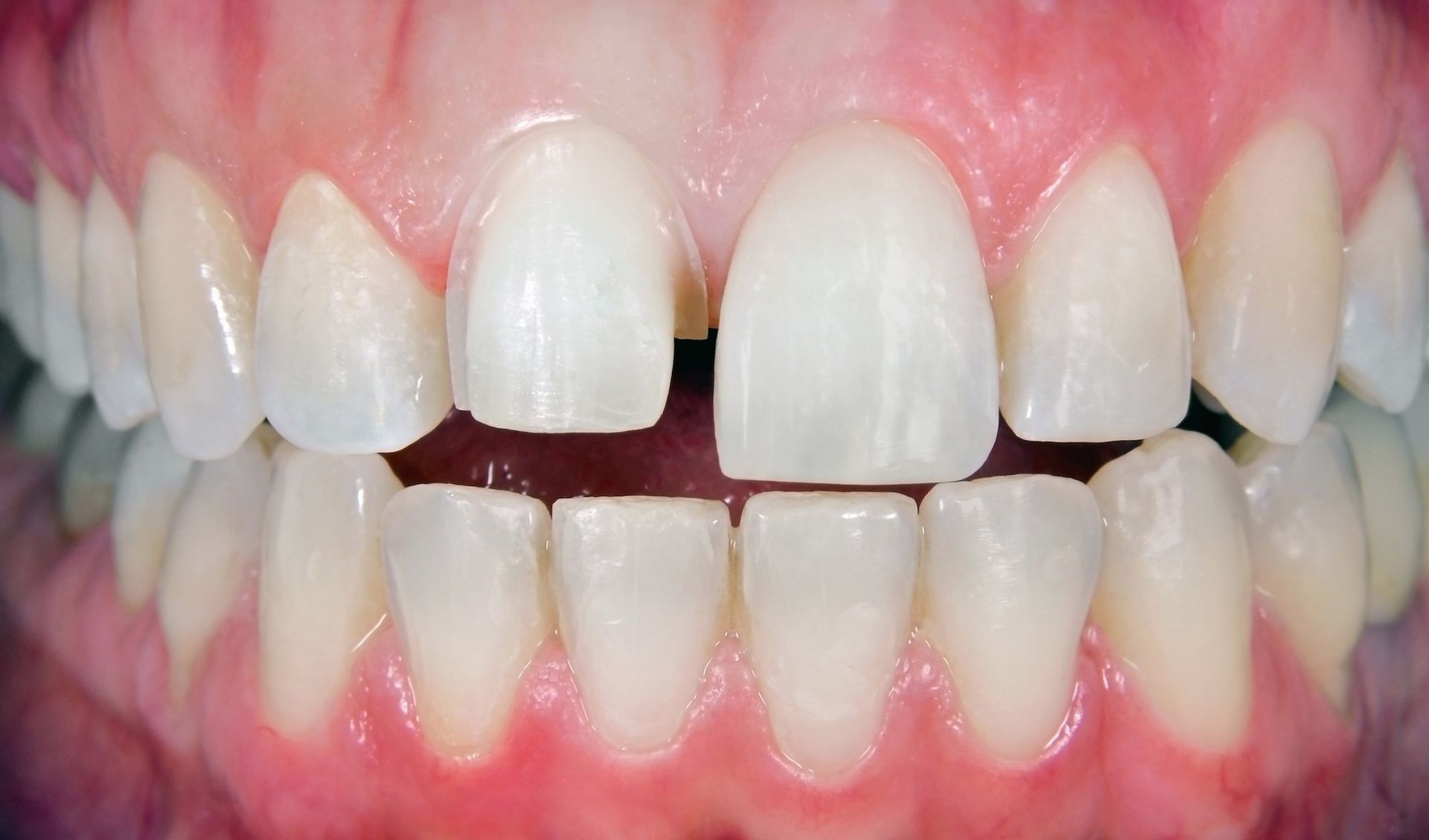
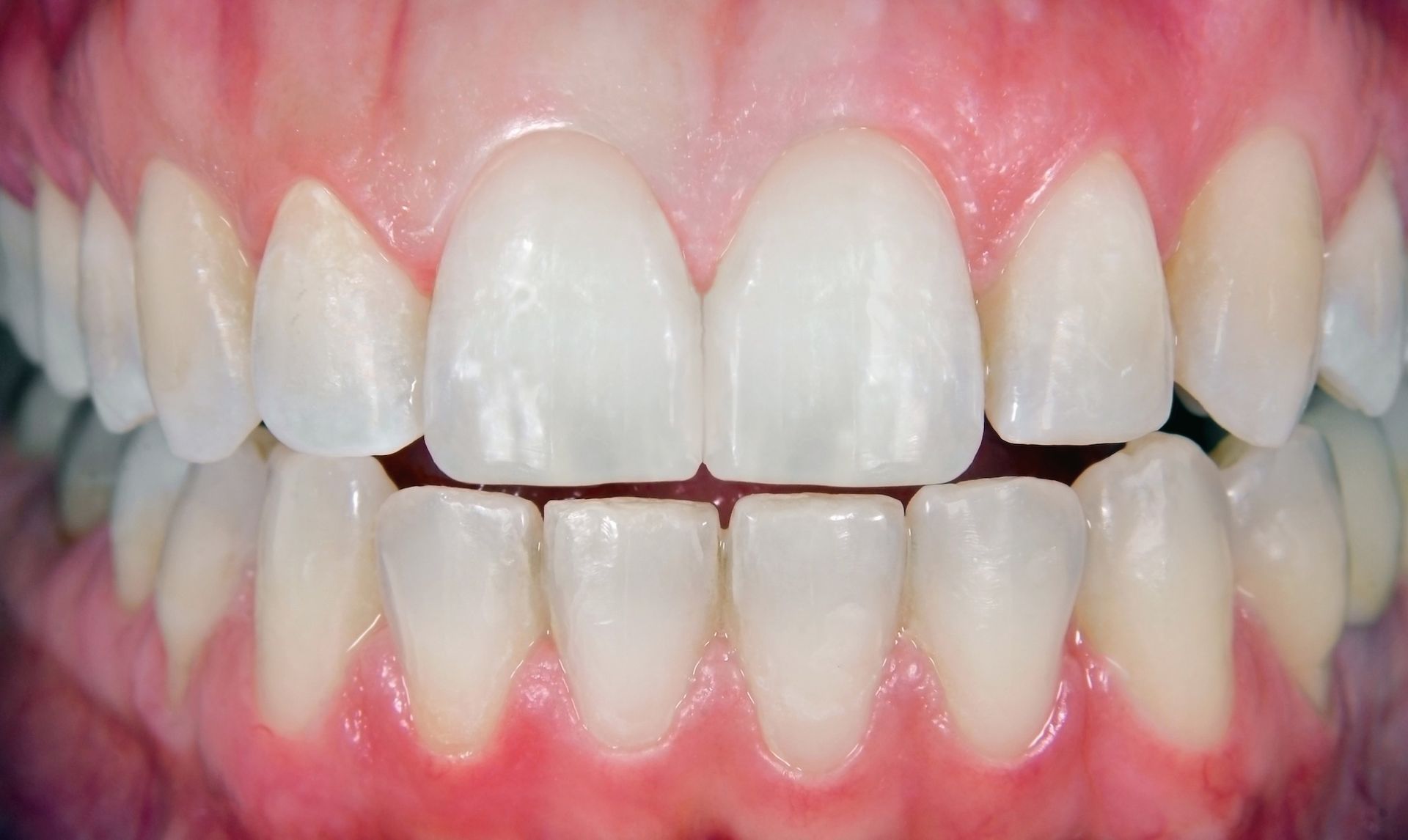
Porcelain Veneers Results
Make an Appointment










