Blog

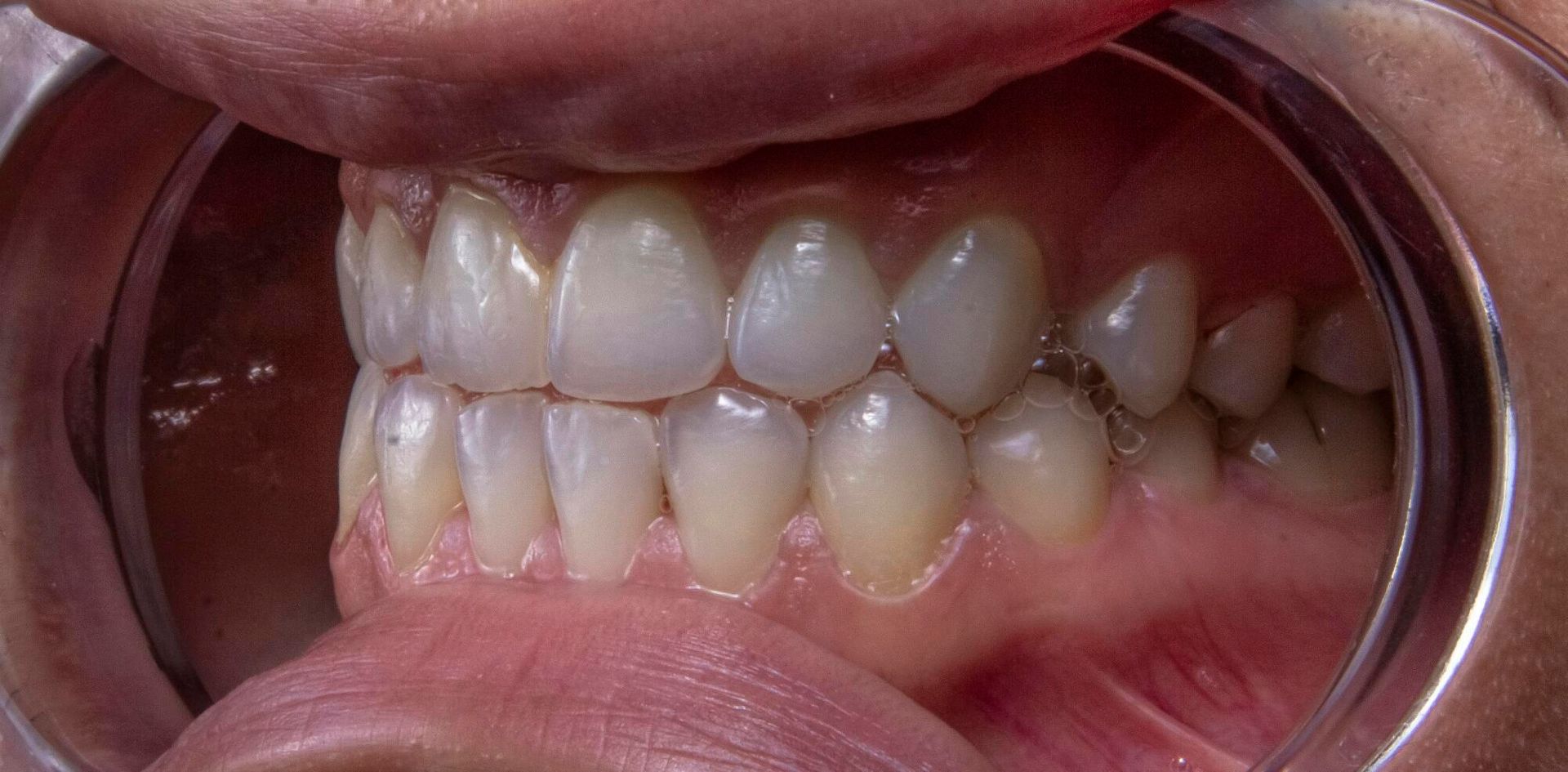
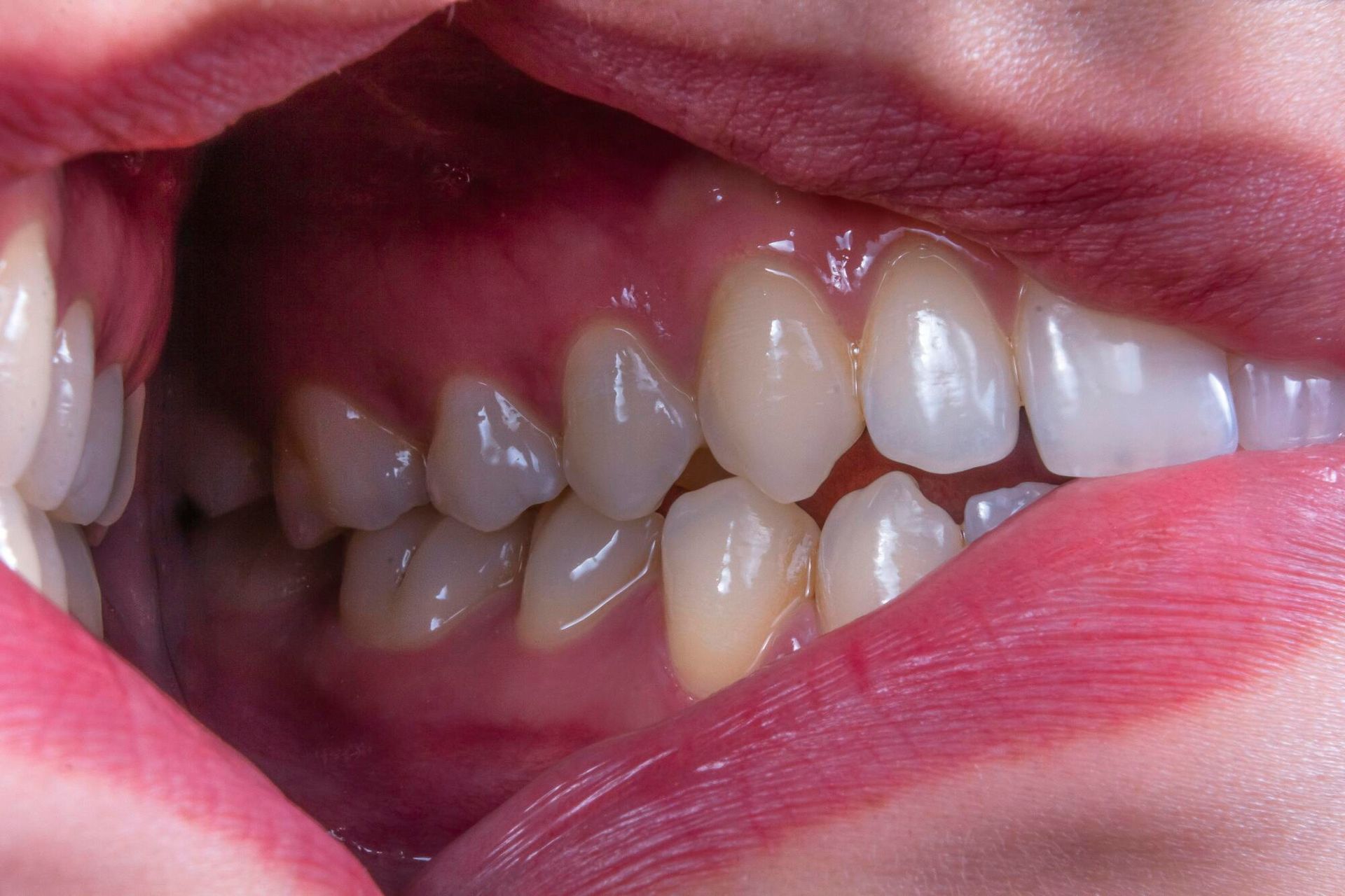
It is estimated that around three in five people are unhappy with their smiles , according to a study by StudyFinds. Misaligned teeth do more than affect your smile. They can create lasting oral and physical problems that build quietly over time. If you have been told you have crooked teeth , it is worth understanding how alignment influences more than just your appearance. In this guide, we will take a closer look at how it can impact your health and go over oral health improvement tips. Increased Risk of Gum Infections Crowded or twisted teeth can trap food particles, making brushing less effective. Plaque builds up along the gumline, feeding bacteria that trigger inflammation and infection. Over time, you can experience long-term tissue damage. Without correction, the risk of gum disease from crooked teeth increases. Consistent oral care becomes harder, and your mouth pays the price. Tooth Decay in Hard-To-Reach Areas Misaligned teeth often leave tight spaces where toothbrushes and floss cannot reach. These hidden zones collect debris and bacteria, setting the stage for cavities. If left untreated, you might eventually require fillings or root canals. People with alignment issues face a greater risk of tooth decay due to these problem areas. Watch for these signs of trouble between dental visits : Increased tooth sensitivity Visible discoloration or dark spots Bad breath that will not go away Pain when biting down Food gets stuck in the same place often Early attention to these symptoms can prevent more substantial procedures later. Uneven Pressure on the Jaw Joints Alignment problems shift the balance of your bite, forcing your jaw muscles to work harder. Added strain can wear down the joints over time, causing severe pain. Jaw pain from misaligned teeth often worsens during meals or while speaking. Clicking and stiffness may follow if the issue is not addressed. This level of discomfort can also interrupt sleep and daily routines. Chronic Facial and Neck Pain Crooked teeth affect more than your mouth. They change how your jaw, head, and neck move. That leads to tightness in nearby muscles and tension that spreads through your face and shoulders. Many people do not realize that the headaches and neck aches they experience come from their teeth . Addressing misalignment often eases strain in other areas. Look for these related symptoms if you suspect your bite is part of the problem: Pain near the temples or ears Sore jaw muscles in the morning Stiffness in the neck or shoulders Tension headaches that return often Difficulty opening your mouth fully A healthier bite can relieve pressure far beyond your teeth. Heightened Risk of Tooth Fractures A misaligned bite causes certain teeth to take more force than others. These teeth wear down faster and become vulnerable to cracks and breaks. The added stress increases the odds of sudden dental emergencies . Over time, repeated pressure can lead to permanent damage. Knowing the risk factors for tooth wear can help you catch the problem early. Persistent Mouth Breathing Issues People with crowded teeth often struggle to keep their lips sealed comfortably. It can lead to breathing through the mouth, especially during sleep. Mouth breathing dries out the tissues and weakens your body's first line of defense against germs. It also contributes to bad breath and sore throats. You may notice these effects building up over time: Dry mouth when you wake up Frequent sore throats Snoring or disrupted sleep Chapped lips or cracked corners of the mouth Nasal congestion without a clear cause Correcting your bite can enhance your breathing and sleep quality each night. Headaches Triggered by Misalignment Even slight shifts in alignment change how your muscles work. When jaw muscles overcompensate, the stress radiates upward. Many people report frequent tension headaches before ever noticing their bite is off. Proper alignment often brings relief that medication alone cannot provide. A dental exam can help uncover this connection, and it is essential to schedule regular ones so you can catch issues before they evolve into something worse. Difficulty Chewing and Digesting Food Chewing becomes inconsistent when teeth do not align correctly. This leads to larger food pieces reaching your stomach, making digestion harder. Some foods may feel impossible to eat at all. You might also feel discomfort or clicking with every bite. Daily frustrations often go overlooked, but they affect your body in many ways: Slower digestion after meals Stomach cramps or discomfort Difficulty chewing hard or chewy foods Jaw soreness during meals Avoiding certain foods entirely Making changes early can help restore both comfort and confidence while reducing stress . Speech Issues and Pronunciation Trouble The shape and position of your teeth play a key role in how you form words. Misalignment can cause lisps or difficulty pronouncing certain sounds. This can impact both personal and professional conversations. Many people find their speech improves noticeably after treatment . Your voice should reflect clarity, not struggle. Higher Likelihood of Tooth Loss Uneven pressure wears teeth down over time, weakening the bone and gum support. Gaps and crowding allow more bacteria to reach vulnerable spots. Once a tooth loosens, the risk of complete loss rises quickly. Even one missing tooth affects your entire bite. These risks become more likely if warning signs go untreated: Shifting teeth or new gaps Bleeding gums during brushing Loose-feeling teeth Sensitivity around the roots Receding gums or exposed tooth surfaces Protecting your alignment means safeguarding the foundation of your smile. Finding the Right Dentist Choosing the right dentist affects more than your teeth. It shapes your comfort and long-term health. The following sections will help you know what to look for and what to avoid. Personality and Communication Style You need a dentist who listens and respects your concerns. Feeling rushed or dismissed can turn even a basic checkup into a bad experience. Look for someone who takes the time to walk you through options without pressure. A comfortable conversation goes a long way when you are sitting in that chair. The right personality builds trust, especially when treatments get more complex. Office Cleanliness and Comfort The appearance of a dental office tells you a lot about how it operates. Clean spaces and updated equipment reflect a professional image. Pay attention to these things before you even meet the dentist. A well-maintained office demonstrates a commitment to hygiene and patient care. When visiting for the first time, take note of the following: Sanitary treatment areas Comfortable seating and lighting Modern dental tools and tech Clear signage and friendly staff Accessible restrooms and amenities A clean and calming office environment helps reduce stress and makes returning to work easier. Range of Services Offered Dentists who offer more than cleanings can save you time and referrals. You do not want to bounce between providers for fillings or cosmetic work. Ask if the dentist offers services such as dental bonding or Invisalign. A wide range of options means more tailored care in one place. That flexibility makes a difference as your needs change. Experience With Anxiety or Special Needs Not every dentist knows how to support individuals with dental phobia or medical conditions. If you deal with anxiety, find someone who can adjust their care. The right team will offer patience and even sedation options when needed. Your prospective dentist should provide care that meets the needs of anxious patients , and you deserve a provider who makes you feel safe and respected. Pricing Transparency and Payment Options Nobody wants surprises when the bill comes. A trustworthy office will tell you what to expect before any procedure starts. Look for written estimates and financing support. Watch for these signs of financial clarity: Upfront pricing details Clear insurance verification Flexible payment plans Discounts for certain groups Transparent answers to cost questions Knowing your options ahead of time helps you plan care without hesitation. Appointment Availability and Wait Times Dentists with flexible hours make it easier to get the care you need. Long waits or limited scheduling can lead to skipped cleanings or delayed treatment. If you are dealing with pain or a busy routine, you need a team that respects your time. They should allow patients to schedule online, helping reduce phone hold times and back-and-forth coordination. Reliable access makes every visit less stressful and more productive. Reputation Within the Community A dentist's reputation often tells you what their website does not. Ask friends or neighbors for recommendations and read patient reviews. Feedback about the chairside manner and billing honesty can help you avoid bad experiences. Before committing, check for the following signs of a trusted provider: Consistent positive reviews across platforms Clear responses to patient concerns Recommendations from local families Long-term patients with repeat visits Clean disciplinary record with licensing boards A solid reputation reflects how much they value their patients over time. Bad, Crooked Teeth Can Lead to Health Issues Addressing alignment issues promptly helps prevent more severe health problems later. Whether it is joint pain, decay, or gum infection, bad crooked teeth often start a chain reaction. Smart Smile Dental has helped hundreds of patients across Orange County with everything from emergency care to complete smile makeovers. Over 95% of Invisalign cases finish within 9 to 15 months. You can get in touch with us today to learn more about how we can help.

Are you recovering from gum recession surgery and wondering what comes next? The Chao Pinhole Surgery Technique offers a minimally invasive way to restore your gumline without cutting or stitches. But your outcome depends on what you do after the procedure. Let us cover the most critical lifestyle adjustments to help your gums heal and stay healthy. From dietary changes to oral hygiene, we will guide you through every step of supporting your recovery. Understanding Pinhole Surgery Pinhole surgery has been gaining popularity as a less traumatic method for treating gum recession . Unlike traditional methods that involve cutting and stitching, this technique uses a small pinhole to reposition gum tissue over exposed roots. This promotes healing and can lead to significant improvements in gum health. Post-surgery Gum Care When it comes to caring for your gums post-surgery, several key adjustments can make a profound difference in your healing journey. Here are some essential tips to consider: Maintain Oral Hygiene It is crucial to follow your dentist's instructions regarding oral hygiene . Gently brush your teeth with a soft-bristled toothbrush and floss with care to prevent any irritation to the surgical site. Avoid Hard and Chewy Foods For the initial recovery period, avoid hard, crunchy, or sticky foods. They can add pressure to the gumline. Soft foods can be more comfortable and promote healing. Stay Hydrated Drinking plenty of water is essential, as it helps keep your mouth moist and may aid in the healing process. Consider rinsing the area with salt water to help disinfect it. Limit Tobacco Products Smoking or using tobacco can hinder the healing process. It is recommended to reduce or quit your usage significantly for optimal recovery. Regular Dental Check-Ups Schedule follow-up appointments with your dentist in Orange, CA, to monitor your healing progress and ensure the success of the Chao Pinhole Surgical Technique. Recognizing Signs of Complications While most patients experience a smooth recovery, it is essential to be aware of potential complications that may arise. Look out for symptoms such as swelling, discharge, or continuous pain. If you notice any of these symptoms, contact your dentist right away. Embracing a Healthy Lifestyle In addition to these specific adjustments, adopting a healthier lifestyle can have a positive impact on your gum health. Consider incorporating: Fruits and vegetables are high in vitamins and antioxidants Whole grains provide the necessary energy Regular exercise improves circulation and contributes to overall health Paying attention to your overall lifestyle may enhance the healing of your gums while also benefiting your entire body. Pinhole Surgery Recovery Successfully recovering from the Chao Pinhole Surgical Technique takes commitment and care. Patients who actively participate in their recovery and maintain a routine of healthy habits can significantly enhance their oral health. Remember, keeping your new gumline is just as important as the surgery itself, so stay mindful of your dental care practices. Elevate Your Smile With Smart Smile OC Your journey to healthier gums does not stop after surgery. At Smart Smile OC, we specialize in providing comprehensive dental care that prioritizes your gum health. With a dedicated team experienced in the Chao Pinhole Surgery Technique, we are here to help you every step of the way. Choose a caring dentist in Orange, CA, and invest in your smile today!

Mornings in your Orange, CA, home can be busy. You're making breakfast, packing bags, and watching your toddler smear toothpaste everywhere but on their teeth. We know it's hard to keep up with your child's dental care when your life is so hectic. A friendly kid's dentist can help make regular dental appointments easy. At Smart Smile Dental, Dr. Lori Bagai and our team create a fun, cozy place for kids to visit. We want to share simple Orange, CA, dental care advice to keep your child's smile bright. This guide will give you easy tips, explain what happens at dental visits, and show why starting young helps kids have healthy teeth for life. Why Early Dental Visits Set Kids Up for Success A healthy smile begins early. Experts at the American Academy of Pediatric Dentistry recommend that children visit a kid's dentist by age one or when their first tooth appears. Early trips help children feel cozy in the dental chair and let us catch small issues before they turn into big ones. At Smart Smile Dental, we've watched nervous kids become pros at checkups. Starting young builds lifelong habits. During visits, we show kids why brushing is important and check their teeth for problems like cavities. Parents walk away with pediatric dental care tips to use at home, like how to make brushing fun. Early care saves time and stress later. A short visit now can prevent bigger dental work down the road. Come to our Orange, CA office, and we'll make your child's first appointment a happy memory . Everyday Habits for Sparkling Smiles at Home Daily habits keep your child's teeth strong. Helping kids brush and floss can seem hard, but our oral care advice for parents makes it simple and fun. Toddlers and Preschoolers Young kids love playtime. Choose a toothbrush with their favorite cartoon character to spark excitement. Sing a short song, like "Row, Row, Row Your Boat," while they brush for two minutes. Use a tiny dot of fluoride toothpaste, no bigger than a rice grain. Guide them to brush twice daily: once after breakfast and once before bed. Cut back on sugary treats like juice or gummy snacks, especially at night. A quick water rinse after sweets keeps teeth clean. School-Age Kids As kids grow, they can brush alone, but peek in to ensure they're thorough. Teach them to use a pea-sized bit of toothpaste and clean every tooth. Show them how to floss daily to clear food between teeth. Swap soda for water to protect their smile. A sticker chart can motivate them to stick with it. Good home routines mean fewer dental visits. We're happy to share more pediatric dental care tips to keep your child's smile dazzling every day. What to Expect at Your Child's Dental Visit in Orange, CA Visiting a kid's dentist should feel like a fun outing, and our Orange, CA, dental care advice ensures you know what to expect. Every appointment keeps kids happy and parents informed . Your child's visit begins with a gentle cleaning. Our kind dental assistant polishes their teeth until they shine. Then, Dr. Lori Bagai checks for cavities and makes sure teeth are growing properly. A special light helps us spot tiny issues early. If needed, we apply fluoride to strengthen teeth. Kids enjoy our bright posters that teach better brushing tricks. Our office feels warm and playful, with fun music and prizes like stickers after each visit. We share expert dental tips for kids with parents, like easy flossing ideas. Everything we do helps your child feel safe and excited about dental care. Schedule a visit at our Orange, CA office, and discover how we turn dental trips into moments your family looks forward to. Common Dental Concerns for Kids and How We Address Them As kids grow, their teeth face unique challenges. At Smart Smile Dental , we help families solve these issues with clear teeth care advice for parents. Preventing Cavities Cavities can sneak up when kids eat sugary snacks or skip brushing . We fight them with sealants, a thin coating brushed onto back teeth to block decay. Fluoride treatments make teeth tougher, too. At checkups, we look for early trouble and share expert dental tips for kids, like brushing twice daily to stop cavities . Parents can help by offering fruit instead of candy for snacks. Managing Habits and Growth Some kids suck their thumbs or lose baby teeth too soon. These habits can push teeth out of line. We suggest gentle ways to ease thumb-sucking, like praising kids for trying new activities. If teeth grow crooked, we monitor them closely and discuss options like Invisalign for teens. Each child gets a custom plan to fit their needs . Our team uses X-rays to watch tooth growth and catch issues fast. We listen to your questions and explain every step. Stop by our Orange, CA office, and let us care for your child's teeth with kindness and skill. Why Choose Smart Smile Dental for Your Child's Care? Caring for your child's smile is what we do best at Smart Smile Dental. Dr. Lori Bagai serves Orange, CA with compassion, offering free dental care one Saturday a month through the Western Service Workers Association. From cleanings to Invisalign, our services fit every family . Choose our kids' dentist team for expert care that keeps your child's teeth healthy and their smile glowing. Keep Your Kid's Dentist Visits Simple and Fun Healthy smiles grow with care. Starting dental visits early and practicing good habits at home set your child up for strong teeth. Your kid's dentist plays a big role in making your child's dental hygiene in Orange easy and fun. At Smart Smile Dental, we create a cozy, playful space where kids love to visit. Dr. Lori Bagai and our team combine expert care with a warm, family-friendly vibe that puts everyone at ease. From cleanings to helpful tips, we're here to help your child's smile shine. Ready to start? Book an appointment today at Smart Smile Dental and take advantage of our $99 exam and X-ray deal for new patients!









