The Chao Pinhole Surgical Technique in Orange County, California
Watch the Video
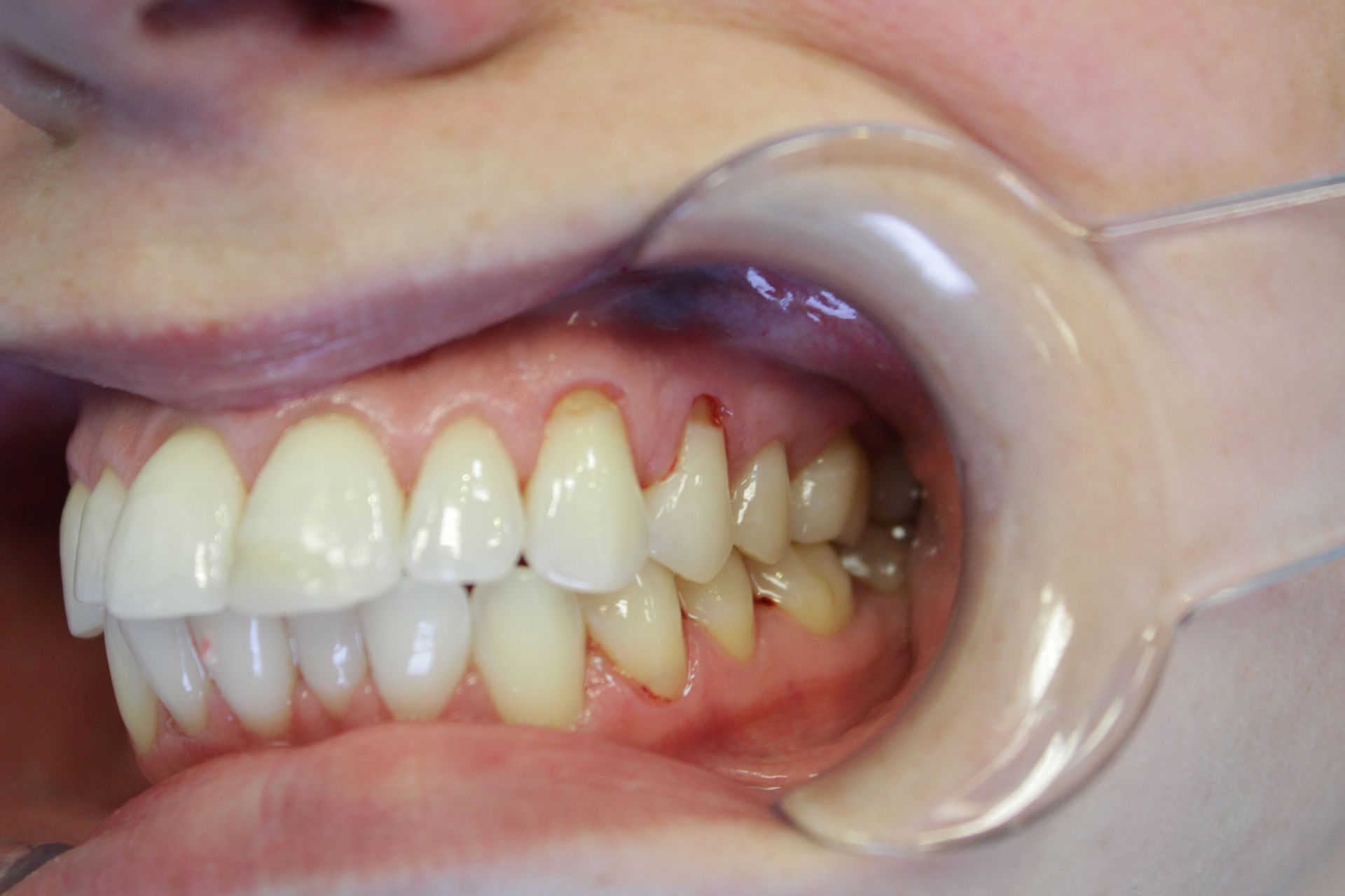
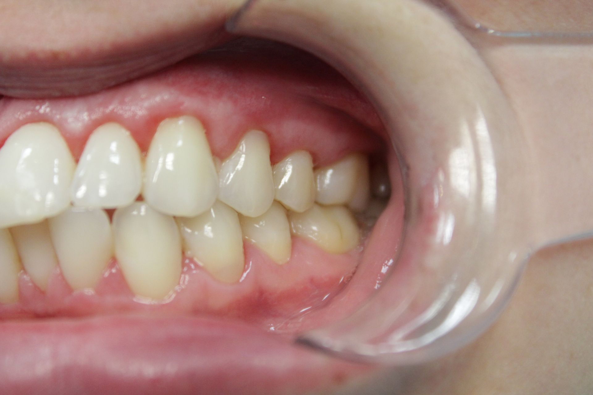
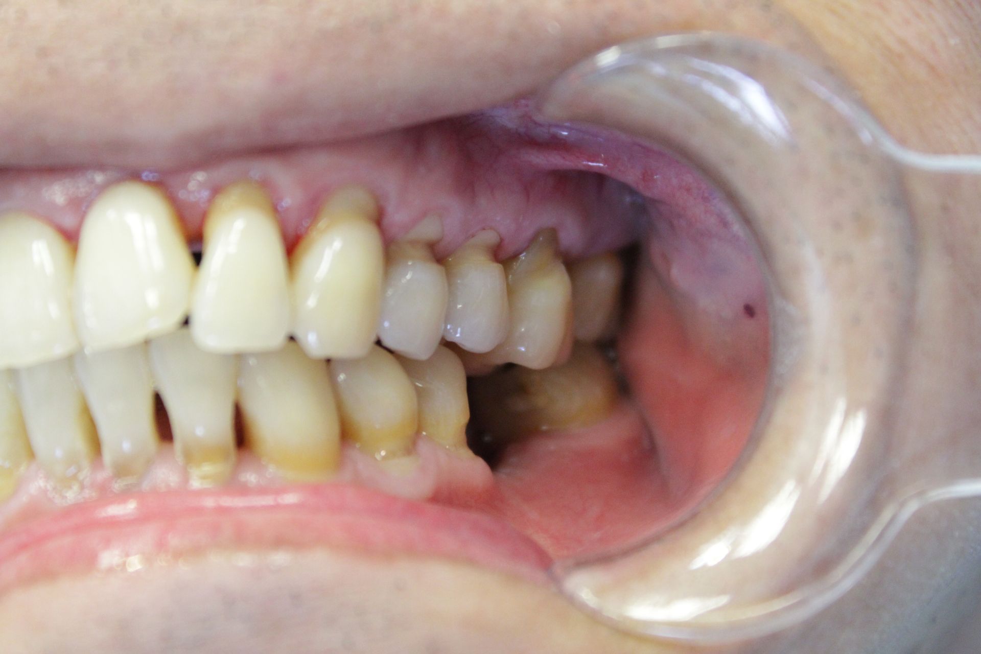
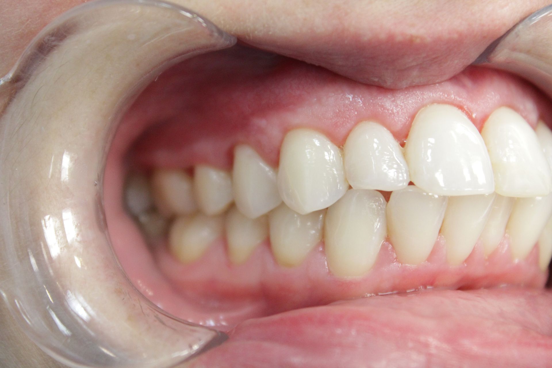
The Chao Pinhole Surgical Technique
One of the most innovative forms of gum recession treatment is the Chao Pinhole Technique. Backed by Chao's extensive research and clinical experience, the Chao Pinhole Surgical Technique uses a needle to make small holes in the gum tissue. Once the gum tissue is loosened, our Smart Smile dental specialists will guide the existing gum tissue over receding parts of the tooth. This technique helps with receding gums and can be beneficial for holding off gum disease by addressing the relevant aspect of gum recession—tissue loss.
The Chao Pinhole Technique is a minimally invasive alternative for treating gum recession. Let’s examine the Chao Pinhole Surgical Technique, what it entails, and why it might make the most sense for your particular priorities, whether they include aesthetic goals, recovery time, or overall comfort. The procedure has been said to be a great treatment for gum recession according to most patients. The Chao Pinhole Technique is also called the PST, the pinhole surgical technique.
What is the Chao Pinhole Technique?
Dr. John Chao invented and patented the suture-free Chao Pinhole Surgical Technique, and it has revolutionized how periodontists help reverse gum recession. Backed by years of scientific investigation and in depth knowledge of periodontal anatomy, the Chao Pinhole Surgical Technique is a minimally invasive treatment where a needle makes a small hole in your existing gum tissue. Once this small hole is created, special instruments gently loosen the patient’s existing gum tissue, offering unique solutions for restoring the gumline without traditional grafting or sutures.
The Chao Pinhole Surgery is much different from the standard treatment for gum recession called soft tissue grafting, where donor tissue or a connective tissue graft is used to help rebuild the gumline. For those looking for a minimally invasive alternative to traditional gum grafting, the Chao Pinhole Surgical Technique is the best option. It avoids the need for a connective tissue graft, making it a much easier and more convenient option compared to conventional gum grafting. A local anesthetic is also administered.
Unlike the standard treatment involving a connective tissue graft, the Chao Pinhole Technique is a minimally invasive option. Why deal with invasive surgical tools when the Chao Pinhole Technique can be used instead? Unlike traditional
gum recession treatments called grafting procedures, the Chao Pinhole Technique doesn’t require donor tissue or uncomfortable sutures. It’s also important to note, however, that not everyone is an ideal candidate for the Chao Pinhole Technique.
Why Choose The Chao Pinhole Technique?
What are some benefits of the Chao Pinhole Surgery technique compared to conventional gum grafting or soft tissue grafting? Here’s why so many who suffer from gum recession opt for the Chao Pinhole Surgical Technique:
- Scalpel free
–
No scalpels or other invasive surgical instruments
- Minimal discomfort
post-procedure compared to gum grafting treatment – patients are often pleasantly surprised by how gentle the process feels
- Much faster recovery time
when compared to traditional grafting techniques – healing generally takes less time than conventional methods
- Instant
cosmetic improvement
- Quick,
convenient, and effective
- Natural
looking teeth
- No need to use tissue
from other parts of the mouth, uses existing tissue from the target tooth area
- No sutures or incisions required,
unlike traditional grafting techniques – the scalpel free approach allows for a smoother healing process
- Minimal Risk
- Donor tissue isn’t needed
to correct gum recession – many patients are pleasantly surprised to learn that their own existing tissue is enough for successful treatment
Watch Our Video About Chao Pinhole Surgical Technique
FAQ About Chao Pinhole Surgical Technique
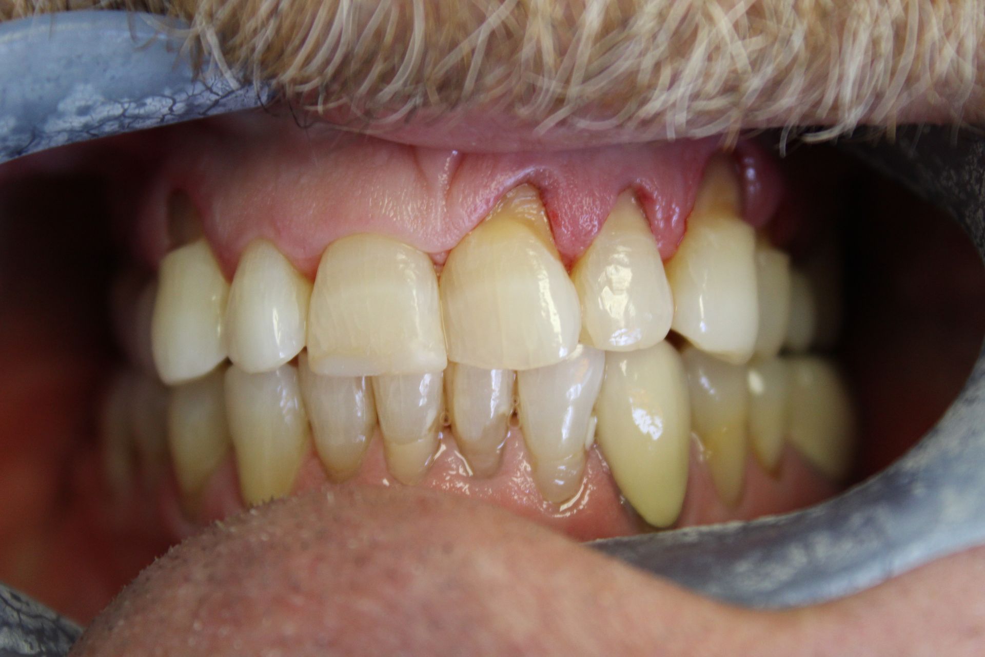
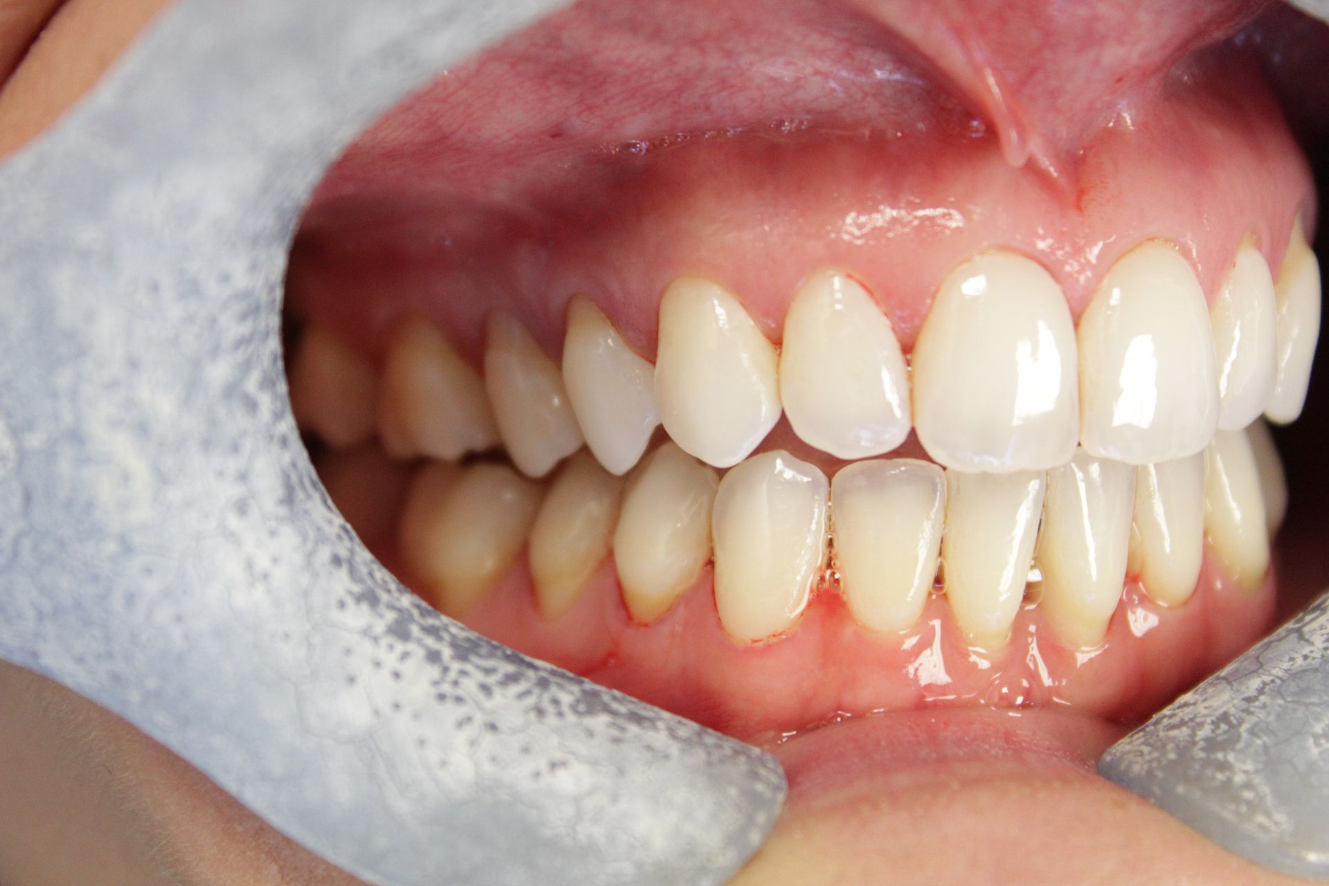
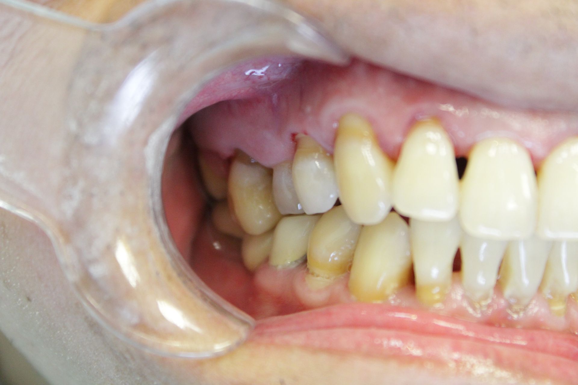
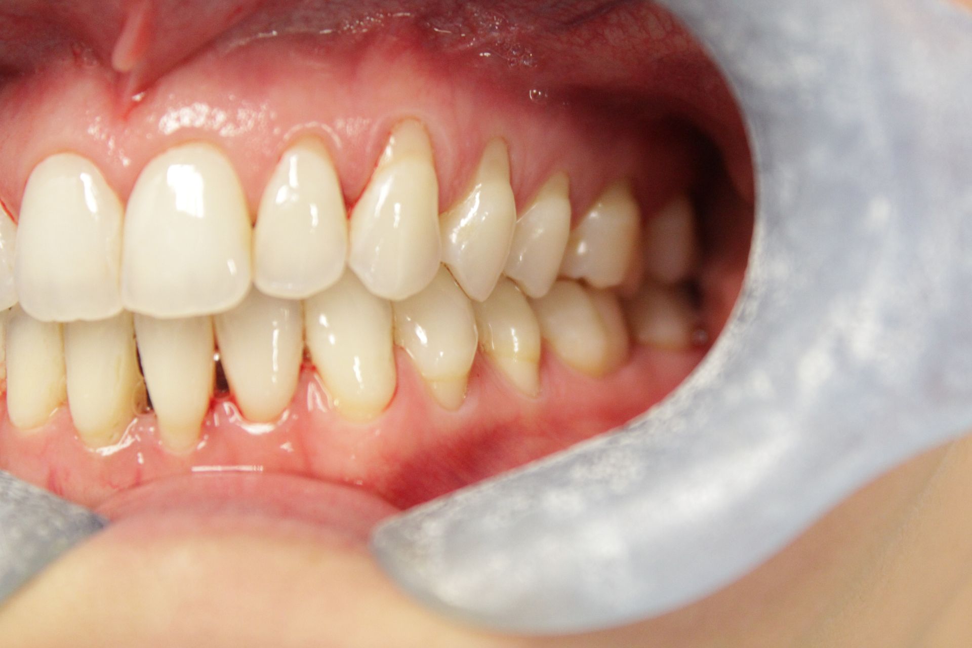
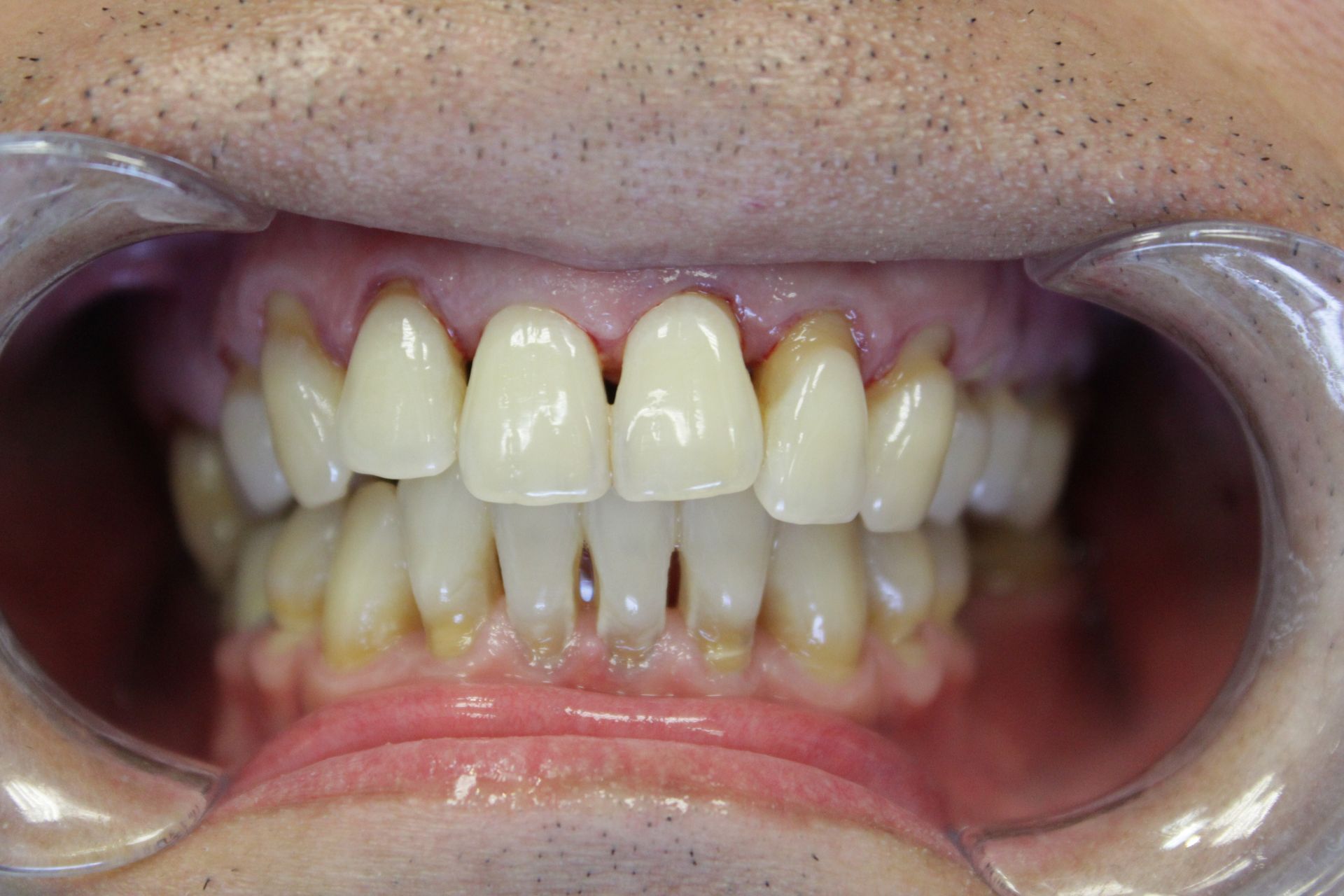
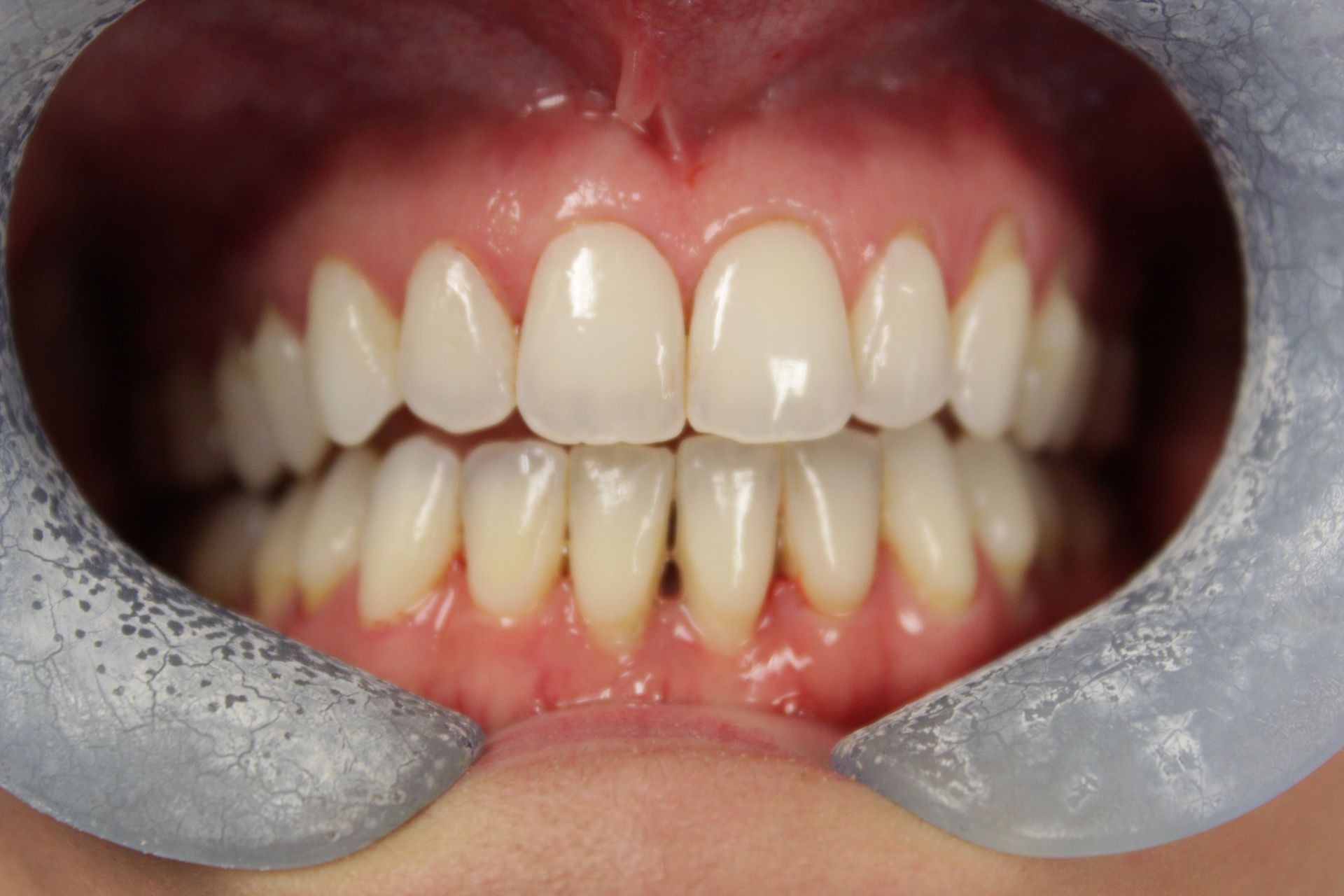
Chao Pinhole Surgical Technique Results
What Our Patients Are Saying
★★★★★
"I want to give my biggest thanks to Smile Smart! A special thanks to Thu for helping me out when I recently came in. Fully recommend everyone to come here! Great experience!"
Andrew R.
★★★★★
"Dr Bagai and her staff are fantastic. I've been going to her for years and am very pleased with the service and results. They are a very friendly group on top of it all! I highly recommend going to her."
Sean B.
★★★★★
"They were wonderful, comprehensive and gentle. All my questions were answered and it was a great cleaning. Will be coming back from my follow up fillings."
Josh S.
Visit Smart Smile in Orange, CA For All Your Smile Care Needs!
Our team of caring professionals are dedicated to improving the health, confidence, and well-being of our patients every day. We are proud to serve our community. Our goal is to help you achieve the healthy smile you want while improving your confidence in your smile. Our team has decades of experience in dentistry, and we value our continuing education so we can bring you the most up-to-date treatment options available.
Modern dentistry can do amazing things for people with receding and/or unhealthy gums. Aren't you curious to see what it can do for you?
When you are ready to try the Chao Pinhole Surgical Technique, we are ready for you! Call our office at (714) 744-1242 to learn more.
Make an Appointment
Call us now at (714) 744-1242
or send us a message using the form below
and we’ll get back to you as soon as we can.





